Skip to main content
Radiografía cuerpo extraño

Cómo actuar cuando un niño ingiere accidentalmente un cuerpo extraño

Radiografía cuerpo extraño

La ingesta de un cuerpo extraño es el paso de un objeto al tracto digestivo (esófago, estómago e intestino). Se trata de un accidente muy frecuente en la edad pediátrica y la mayor incidencia ocurre entre los seis meses y tres años de edad.

 

Cuando el lactante sea capaz de coordinar acciones con sus manos, será capaz de llevarse a la boca cualquier objeto que esté a su alcance de forma instintiva como medida exploradora. 

 

Esta etapa de descubrimiento dura varios meses; incluso cuando empiece a gatear o a andar correrá hacia elementos que le llamen la atención y se los llevará a la boca. Llegado ese momento es muy importante no perder de vista al niño y no dejar a su alcance objetos peligrosos ni juguetes no aptos para la edad, como medida de prevención. 

 

La mayor parte de objetos que el niño se traga, hasta un 80%, pasan a estómago y aparato digestivo, sin causar complicaciones siendo eliminados con las heces sin ningún problema. Pero aproximadamente un 19% de los casos precisa de endoscopia con anestesia general para su extracción y en un 1% es necesaria una intervención quirúrgica. 

 

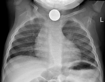
El tipo de cuerpo extraño implicado en estas situaciones es muy variable, pero el más frecuente son las monedas. 

 

Las características del cuerpo extraño ingerido (tamaño, forma y composición) son las que influyen en la progresión en el tracto digestivo y a su vez definen la probabilidad de repercusión sobre el estado de salud. Pueden ser romos o punzantes, siendo éstos los más peligrosos dado que son capaces de producir lesión en la mucosa o incluso perforación.

 

Dos situaciones especiales importantes:

 

  • La ingesta de pilas de botón: por su composición química, principalmente metales pesados, pueden producir lesiones por tres mecanismos: presión, quemaduras y necrosis de la mucosa digestiva al liberar contenido tóxico. Son muy lesivas y deben extraerse lo antes posible.     
             
  • La ingesta de varios imanes o de un imán y un metal: debido a su adhesión entre ellos, hay riesgo de necrosis de pared, fístulas, perforaciones u obstrucciones, por lo que su extracción, siempre que sean accesibles es prioritaria. 

 

La localización del objeto nos determinará la clínica y el tratamiento a realizar

Esófago

Hasta el 20% de cuerpos extraños quedan alojados en esófago y con más frecuencia en su tercio medio. Los síntomas que refieren los pacientes son dolor en la zona central del pecho, dolor con la ingesta, sialorrea (acumulación y salida de saliva por la boca por la imposibilidad de tragar), vómitos y rechazo a la ingesta. Pueden producir complicaciones como perforación del esófago o neumonías por aspiración. Es recomendable, independientemente del tipo de objeto ingerido, su extracción mediante endoscopia. 

Objeto en esófago

 

Estómago

En el momento del diagnóstico, la mayoría de objetos, hasta un 60%, se encuentran en estómago. Suelen presentarse asintomáticos. En niños pequeños (menores de 20 Kg de peso), objetos de menos de 2 cm de diámetro y menos de 4 cm de longitud salen del estómago sin problemas; en niños mayores, el límite se sitúa en 2,5 cm de diámetro y 6 cm de longitud. 

 

En esta localización se recomienda extraer con endoscopia aquellos objetos cuyas medidas sean superiores a las indicadas previamente, los que son punzantes o cortantes (agujas, cristales…), las pilas de botón y los imanes (varios o uno y una pieza metálica) por ser considerados cuerpos extraños con alto riesgo de complicaciones. 

 

En el resto de casos, afortunadamente la mayoría, se expulsarán con las deposiciones sin problemas, por lo que se aconseja vigilar las heces buscando el objeto; si transcurridas 3-4 semanas no se ha objetivado su eliminación, o aparecen síntomas, como vómitos y dolor abdominal, deberán acudir a urgencias para su valoración. 

 

No se aconsejan tratamientos farmacológicos para aumentar la motilidad intestinal, enemas, laxantes, ni cambios en la dieta. 

Intestino

En el 11% de los casos el cuerpo extraño se encuentra alojado en intestino delgado. Cuando ya se encuentran en esta localización es poco frecuente que produzcan complicaciones y su expulsión es altamente probable. Sólo se indica la endoscopia en el caso de cuerpos extraños con alto riesgo de complicaciones y que se encuentran en el duodeno. 

Junto al tipo de cuerpo extraño y la localización, se debe tener presente la clínica que puede presentar el paciente. Son signos de alarma la presencia de fiebre, vómitos, dolor o sangrado rectal, por ello, si aparecen se debe consultar a un servicio de urgencias para ser valorado por un profesional y descartar complicaciones como perforación intestinal, obstrucción, úlceras, fístulas entre asas intestinales… que, aunque poco frecuentes, pueden acontecer tras la ingesta de un cuerpo extraño.  

Esta información es de carácter divulgativo y no sustituye la tarea de los equipos profesionales de la salud. Si necesitas ayuda, ponte en contacto con tu profesional de referencia.
Publicación:  12/07/2023 Última modificación:  13/06/2024
pediatra · urgencias · atragantamiento
Araceli Domingo
Araceli Domingo Garau
Ver más
Pediatra Urgencias Pediátricas
Cómo actuar cuando un niño ingiere accidentalmente un cuerpo extraño

Contenidos relacionados

El síndrome de Asperger: qué es y cuáles son sus características
Article

El síndrome de Asperger: qué es y cuáles son sus características

El síndrome de Asperger es un trastorno del desarrollo menos conocido que el autismo pero, que en cambio, afecta a mucha más población. ¿Qué es y cuáles son sus rasgos característicos?

¿Cómo son las primeras visitas al pediatra?
Article

¿Cómo son las primeras visitas al pediatra?

Es muy posible que el pediatra visite con más frecuencia al niño durante su primer año de vida que en cualquier otro momento. ¿Por qué son tan importantes estas primeras visitas y qué objetivo tienen?

Ingesta de cuerpos extraños en niños ¿Qué hacer cuando un niño se traga accidentalmente un objeto?
Article

Ingesta de cuerpos extraños en niños ¿Qué hacer cuando un niño se traga accidentalmente un objeto?

Cuando un niño se traga accidentalmente un objeto, es importante actuar con precaución. La ingesta de cuerpos extraños es común en niños pequeños. En la mayoría de los casos, estos objetos pasan naturalmente a través del sistema digestivo.

Aprende cómo evitar y actuar ante un niño que se ha tragado una pila de botón
Article

Aprende cómo evitar y actuar ante un niño que se ha tragado una pila de botón

Si tienes niños pequeños en casa, es importante que guardes las pilas de botón fuera de su alcance y que sepas qué es lo que deberías hacer si tu hijo se tragara una.

Actividades relacionadas